Contents
- 1. Vôi răng là gì? Tại sao đánh răng mãi không sạch?
- Từ mảng bám đến “hóa thạch” trong miệng
- Phân biệt Mảng bám và Vôi răng
- 2. Chuyện gì xảy ra nếu bạn “mặc kệ” vôi răng?
- Giai đoạn 1: Viêm nướu (Gingivitis)
- Giai đoạn 2: Viêm nha chu (Periodontitis) Cơn ác mộng thực sự
- 3. Cạo vôi răng có đau không? Có làm mòn men răng không?
- Sự thật về việc cạo vôi răng
- Công nghệ Sóng Siêu Âm (Ultrasonic Scaling) Cuộc cách mạng êm ái
- 4. Quy trình lấy vôi răng chuẩn Y khoa tại nha khoa bác sĩ Hiếu
- Bước 1: Thăm khám tổng quát
- Bước 2: Vệ sinh khoang miệng
- Bước 3: Lấy cao răng bằng máy siêu âm
- Bước 4: Đánh bóng (Polishing) – Bước cực kỳ quan trọng
- Bước 5: Sát khuẩn và hướng dẫn chăm sóc
- 5. Bao lâu nên đi lấy vôi răng một lần?
- 🎁 Đừng để đến khi răng lung lay mới hối hận!

Bạn đã bao giờ tự hỏi: Tại sao mình đánh răng 2 lần mỗi ngày, dùng cả nước súc miệng mà hơi thở vẫn có mùi, và chân răng vẫn xuất hiện những vệt vàng ố cứng đầu?
Rất nhiều bệnh nhân đến gặp tôi trong tình trạng nướu sưng đỏ, chảy máu chỉ vì chủ quan với những “mảng bám vô hại” đó. Thực tế, đó chính là Vôi răng (cao răng) “kẻ thù thầm lặng” đang âm thầm ăn mòn chân răng của bạn mỗi ngày. Vậy chính xác cao răng là gì? Lấy cao răng có đau không hay sẽ làm hỏng men răng? Hãy để Bác sĩ Hiếu giải đáp tất tần tật cho bạn trong bài viết này bằng kinh nghiệm 10 năm làm nghề nhé.
1. Vôi răng là gì? Tại sao đánh răng mãi không sạch?
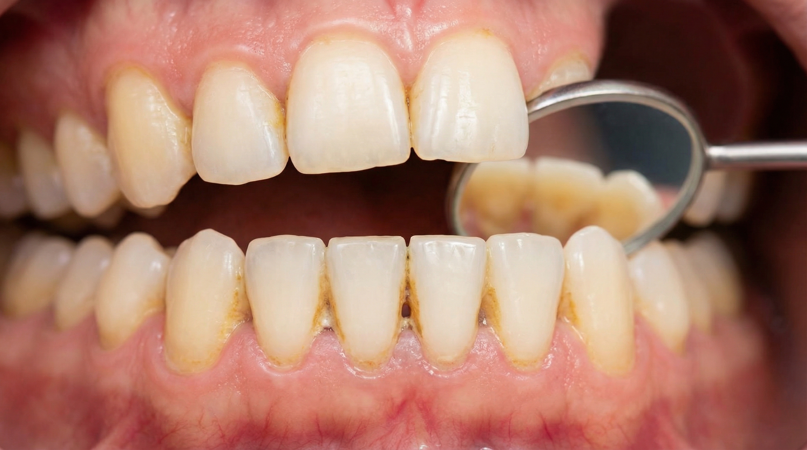
Vôi răng (Cao răng) là những mảng bám thức ăn và vi khuẩn bị vôi hóa bởi muối khoáng (Canxi, Phosphate) trong nước bọt. Khác với mảng bám mềm, vôi răng có cấu trúc cứng như đá, bám rất chặt vào cổ răng hoặc dưới nướu và không thể làm sạch bằng bàn chải thông thường.
Dưới góc nhìn của Bác sĩ Hiếu, bạn có thể nhận diện vôi răng qua 3 đặc điểm chính:
- Màu sắc: Thường có màu vàng nhạt, nâu đỏ hoặc đen (do dính màu thực phẩm/khói thuốc).
- Vị trí: Tập trung nhiều ở mặt trong răng cửa dưới và mặt ngoài răng cối trên.
- Bề mặt: Nhám, sần sùi, là “tổ ấm” lý tưởng cho vi khuẩn sinh sôi.
Từ mảng bám đến “hóa thạch” trong miệng
Hãy tưởng tượng thế này cho dễ hiểu: Khi bạn ăn xong, một lớp màng dính (gọi là mảng bám) sẽ hình thành trên răng. Nếu bạn không chải sạch trong vòng 24 giờ, vi khuẩn sẽ kết hợp với muối khoáng trong nước bọt, dần dần cứng lại.
Quá trình này giống như việc hình thành thạch nhũ trong hang động vậy, nhưng nhanh hơn nhiều. Chỉ sau khoảng 1 tuần, mảng bám mềm sẽ bị vôi hóa trở nên cứng như đá. Lúc này, bàn chải đánh răng hoàn toàn “bó tay”. Đó chính là Cao răng (Vôi răng).

Phân biệt Mảng bám và Vôi răng
Rất nhiều bệnh nhân đến phòng khám của tôi thường nhầm lẫn hai khái niệm này. Hiểu sai dẫn đến chăm sóc sai. Đây là bảng so sánh nhanh giúp bạn dễ hình dung:
| Đặc điểm | Mảng bám (Plaque) | Vôi răng (Tartar) |
|---|---|---|
| Trạng thái | Mềm, nhớt, vô hình. | Cứng, bám chặt, dễ nhìn thấy. |
| Hình thành | Sau khi ăn 15-30 phút. | Mảng bám bị vôi hóa sau 24-72 giờ. |
| Cách xử lý | Chải răng, chỉ nha khoa. | Phải dùng máy siêu âm tại nha khoa. |
2. Chuyện gì xảy ra nếu bạn “mặc kệ” vôi răng?
Đây là phần tôi muốn các bạn đọc thật kỹ. Rất nhiều người nghĩ “Có chút vôi răng thôi mà, đâu có chết người”. Đúng, nó không chết người ngay, nhưng nó “giết chết” nụ cười và ví tiền của bạn từ từ.
Giai đoạn 1: Viêm nướu (Gingivitis)
Vi khuẩn trong cao răng sẽ tiết ra độc tố làm nướu bị viêm. Bạn sẽ thấy đánh răng hay bị chảy máu. Đây là “lời kêu cứu” đầu tiên của cơ thể.
Giai đoạn 2: Viêm nha chu (Periodontitis) Cơn ác mộng thực sự
Nếu lờ đi giai đoạn 1, cao răng sẽ lấn sâu xuống dưới nướu, phá hủy dây chằng và xương ổ răng. Tôi đã từng phải nhổ bỏ 4 chiếc răng cửa cho một bệnh nhân nữ mới 35 tuổi chỉ vì chị ấy sợ lấy cao răng sẽ bị đau nên đã trì hoãn suốt 5 năm. Khi đến gặp tôi, răng chị ấy đã lung lay như phím đàn rồi.

Hậu quả của việc không lấy cao răng không chỉ dừng lại ở thẩm mỹ:
- Tiêu xương hàm: Má hóp lại, trông già trước tuổi.
- Mất răng hàng loạt: Chi phí trồng răng Implant sau này có thể lên tới hàng trăm triệu đồng.
- Bệnh lý toàn thân: Vi khuẩn từ cao răng có thể đi vào máu, gây ảnh hưởng đến tim mạch và tiểu đường.
3. Cạo vôi răng có đau không? Có làm mòn men răng không?
Đây là câu hỏi “kinh điển” mà ngày nào inbox của Bác sĩ Hiếu cũng nhận được. Để trả lời cho câu hỏi cạo vôi răng có đau không, tôi sẽ dùng công nghệ để giải thích.
Sự thật về việc cạo vôi răng
Ngày xưa, các nha sĩ dùng dụng cụ cầm tay để “nạy” từng mảng vôi, điều này đôi khi gây ê buốt và chảy máu nhiều. Nhưng đó là câu chuyện của 10 năm trước, bây giờ với các công nghệ và thiết bị hiện đại việc lấy vôi răng trở nên nhẹ nhàng và đơn giản hơn rất nhiều
Công nghệ Sóng Siêu Âm (Ultrasonic Scaling) Cuộc cách mạng êm ái
Hiện tại, tại các nha khoa chuẩn y khoa (như nơi tôi đang làm việc), chúng tôi sử dụng máy lấy cao răng bằng sóng siêu âm. Cơ chế hoạt động của nó rất thú vị:
| Đặc điểm (Feature) | Ưu điểm (Advantage) | Lợi ích cho bạn (Benefit) |
|---|---|---|
| Đầu rung siêu âm tần số cao | Chỉ làm vỡ liên kết của vôi răng mà không tác động lực cơ học mạnh. | Không gây đau đớn, cảm giác chỉ như nướu được massage nhẹ. |
| Đầu cạo tròn, tù | Không sắc nhọn như dụng cụ cũ. | Không làm mòn men răng, không gây xước nướu. |
| Tia nước phun sương | Làm mát liên tục và rửa trôi cặn bẩn ngay lập tức. | Giảm ê buốt tối đa, miệng sạch sẽ ngay sau khi làm. |
Sự thật từ Bác sĩ Hiếu: Lấy cao răng KHÔNG làm mòn răng. Ngược lại, để cao răng bám đầy mới là nguyên nhân khiến men răng bị vi khuẩn ăn mòn. Cảm giác “trống trải” hay “ê nhẹ” sau khi lấy là do lớp vôi dày bị loại bỏ, nướu cần 1-2 ngày để ôm sát lại vào chân răng mà thôi.
4. Quy trình lấy vôi răng chuẩn Y khoa tại nha khoa bác sĩ Hiếu
Bước 1: Thăm khám tổng quát
Tôi cần xem bạn có đang bị viêm nướu cấp, hay có các bệnh lý về máu không.
Bước 2: Vệ sinh khoang miệng
Súc miệng bằng dung dịch chuyên dụng để giảm bớt vi khuẩn trước khi can thiệp.
Bước 3: Lấy cao răng bằng máy siêu âm
Bác sĩ sẽ sử dụng thiết bị chuyên dụng để kiểm tra quanh cổ răng, kẽ răng và dưới nướu. Kỹ thuật này đòi hỏi bác sĩ có tay nghề để làm sạch sâu mà không chạm vào mô mềm.
Bước 4: Đánh bóng (Polishing) – Bước cực kỳ quan trọng
Nhiều nơi bỏ qua bước này để làm nhanh. Nhưng nếu không đánh bóng, bề mặt răng sẽ nhám, tạo điều kiện cho cao răng tái bám nhanh hơn gấp đôi! Tôi luôn dùng chổi mềm và thuốc đánh bóng chuyên dụng để làm láng mịn bề mặt răng cho bạn.
Bước 5: Sát khuẩn và hướng dẫn chăm sóc
Sau khi hoàn tất, bạn sẽ được hướng dẫn cách chải răng và dùng chỉ nha khoa để duy trì kết quả lâu dài.

5. Bao lâu nên đi lấy vôi răng một lần?
Không có công thức chung cho tất cả mọi người, nhưng dựa trên kinh nghiệm lâm sàng, tôi khuyến nghị:
- 6 tháng/lần: Với người có men răng tốt, vệ sinh răng miệng kỹ, ít cao răng.
- 3 – 4 tháng/lần: Với người hút thuốc lá, uống nhiều cà phê, bia rượu, hoặc người có cơ địa nước bọt nhiều muối khoáng (dễ bám vôi).
- Trẻ em: Cũng cần lấy cao răng! Rất nhiều phụ huynh bỏ quên điều này. Hãy đưa bé đi kiểm tra định kỳ nhé.
🎁 Đừng để đến khi răng lung lay mới hối hận!
Việc lấy vôi răng chỉ mất khoảng 20 – 30 phút nhưng giúp bạn bảo vệ nụ cười suốt nhiều năm. Đừng vì sợ đau hay tiếc một khoản chi phí nhỏ mà đánh đổi sức khỏe răng miệng của mình.
Nếu bạn đang thấy nướu chảy máu, hay đơn giản là muốn kiểm tra tình trạng răng miệng, hãy ghé qua gặp Bác sĩ Hiếu nhé. Tôi luôn dành thời gian để tư vấn kỹ lưỡng nhất cho từng trường hợp.
- Bảng giá Niềng răng tại Nha khoa Bác sĩ Hiếu – Cập nhật 2026 (Minh bạch & Trọn gói)
- Minivis trong chỉnh nha là gì? Khi nào cần cắm minivis
- Hôi Miệng, Nguyên Nhân Và Cách Khắc Phục Triệt Để Hôi Miệng
- Niềng răng bị hôi miệng? Nguyên nhân và cách khắc phục
- Cấy ghép implant là gì? Những yếu tố ảnh hưởng đến quá trình trồng răng implant

















