“Bác sĩ Hiếu ơi, răng của con em bị sâu hết rồi, hay là nhổ đi cho xong, đỡ phải hàn trám lằng nhằng?”
Khoan đã ba mẹ ơi! Quyết định nhổ một chiếc răng sữa khi chưa đến tuổi thay giống như việc bạn dỡ bỏ nền móng khi ngôi nhà chưa xây xong vậy. Hậu quả không chỉ là chuyện “sún răng” cười xấu, mà là cả một hệ lụy răng mọc lệch lạc, chen chúc khiến con phải niềng răng tốn kém sau này.
Hôm nay, dưới góc độ chuyên môn, tôi sẽ giải thích tường tận: Khi nào buộc phải nhổ sớm và làm gì để cứu nụ cười tương lai của con?
1. Thế nào gọi là “Nhổ răng sữa sớm”?
Không phải cứ nhổ răng sữa là xấu. Chúng ta chỉ gọi là “nhổ sớm” (Premature Loss) khi chiếc răng bị mất đi trước thời điểm thay răng sinh lý ít nhất 6 tháng đến 1 năm.
Ba mẹ hãy lưu lại bảng lịch thay răng chuẩn này để đối chiếu với con mình:
| Loại răng | Tuổi thay răng (Hàm dưới) | Tuổi thay răng (Hàm trên) |
|---|---|---|
| Răng cửa giữa | 6 – 7 tuổi | 6 – 7 tuổi |
| Răng cửa bên | 7 – 8 tuổi | 7 – 8 tuổi |
| Răng nanh | 9 – 10 tuổi | 11 – 12 tuổi |
| Răng hàm sữa 1 | 9 – 11 tuổi | 9 – 11 tuổi |
| Răng hàm sữa 2 | 10 – 12 tuổi | 10 – 12 tuổi |
Ví dụ: Con bạn mới 5 tuổi mà sâu răng hàm, phải nhổ bỏ. Trong khi răng hàm này 10-12 tuổi mới thay -> Đây là nhổ răng sớm sẽ làm ảnh hưởng nghiêm trọng đến quá trình thay răng hàm của bé sau này

2. Hậu quả khôn lường của việc mất răng sữa sớm
Răng sữa có nhiệm vụ quan trọng nhất là “giữ chỗ” (Space Keeper) cho răng vĩnh viễn. Nếu “người giữ chỗ” này biến mất quá sớm, thảm họa domino sẽ xảy ra:
2.1. Răng vĩnh viễn mọc lệch, chen chúc
Đây là cơ chế vật lý tự nhiên: Khi có một khoảng trống, các răng bên cạnh sẽ có xu hướng đổ nghiêng về phía khoảng trống đó để lấp đầy.
Kết quả? Khi mầm răng vĩnh viễn bên dưới trồi lên, nó thấy “cửa nhà” đã bị đóng kín. Nó buộc phải:
- Mọc chệch ra ngoài (răng khểnh/răng hô).
- Mọc chệch vào trong (răng thụt).
- Hoặc kẹt luôn trong xương hàm (răng ngầm).
Lúc này, giải pháp duy nhất là Niềng răng (Chi phí từ 30 – 100 triệu đồng). Trong khi nếu giữ được răng sữa, ba mẹ đã tiết kiệm được khoản này.

2.2. Suy giảm chức năng nhai
Răng sữa, đặc biệt là răng hàm, chịu trách nhiệm nghiền nát thức ăn. Mất răng sớm khiến bé lười nhai, hay nuốt chửng. Điều này gây áp lực lên dạ dày, dẫn đến biếng ăn, kém hấp thu và chậm lớn.
2.3. Ảnh hưởng phát âm và thẩm mỹ
Mất răng cửa sữa quá sớm (trước 3-4 tuổi) có thể khiến bé bị ngọng, phát âm không tròn vành rõ chữ (đặc biệt các âm gió s, x, ph…). Ngoài ra, việc “sún răng” lâu ngày cũng khiến bé tự ti khi cười nói với bạn bè.
3. Vậy trường hợp nào BẮT BUỘC phải nhổ?
Nói đi cũng phải nói lại. Dù tôi luôn muốn bảo tồn răng cho các con, nhưng có những trường hợp “thà đau một lần rồi thôi”. Nếu giữ lại chiếc răng hỏng còn nguy hiểm hơn:
🔴 Bác sĩ Hiếu chỉ định NHỔ NGAY khi:
- Răng sâu vỡ nát chỉ còn chân răng, không thể trám hay bọc mão.
- Răng bị viêm nhiễm nặng, có mủ (áp-xe), sưng tái đi tái lại.
- Ổ viêm nhiễm chân răng sữa đe dọa làm hỏng men răng vĩnh viễn bên dưới.
- Răng sữa chưa rụng nhưng răng vĩnh viễn đã mọc lẫy (mọc chen) lên rồi.
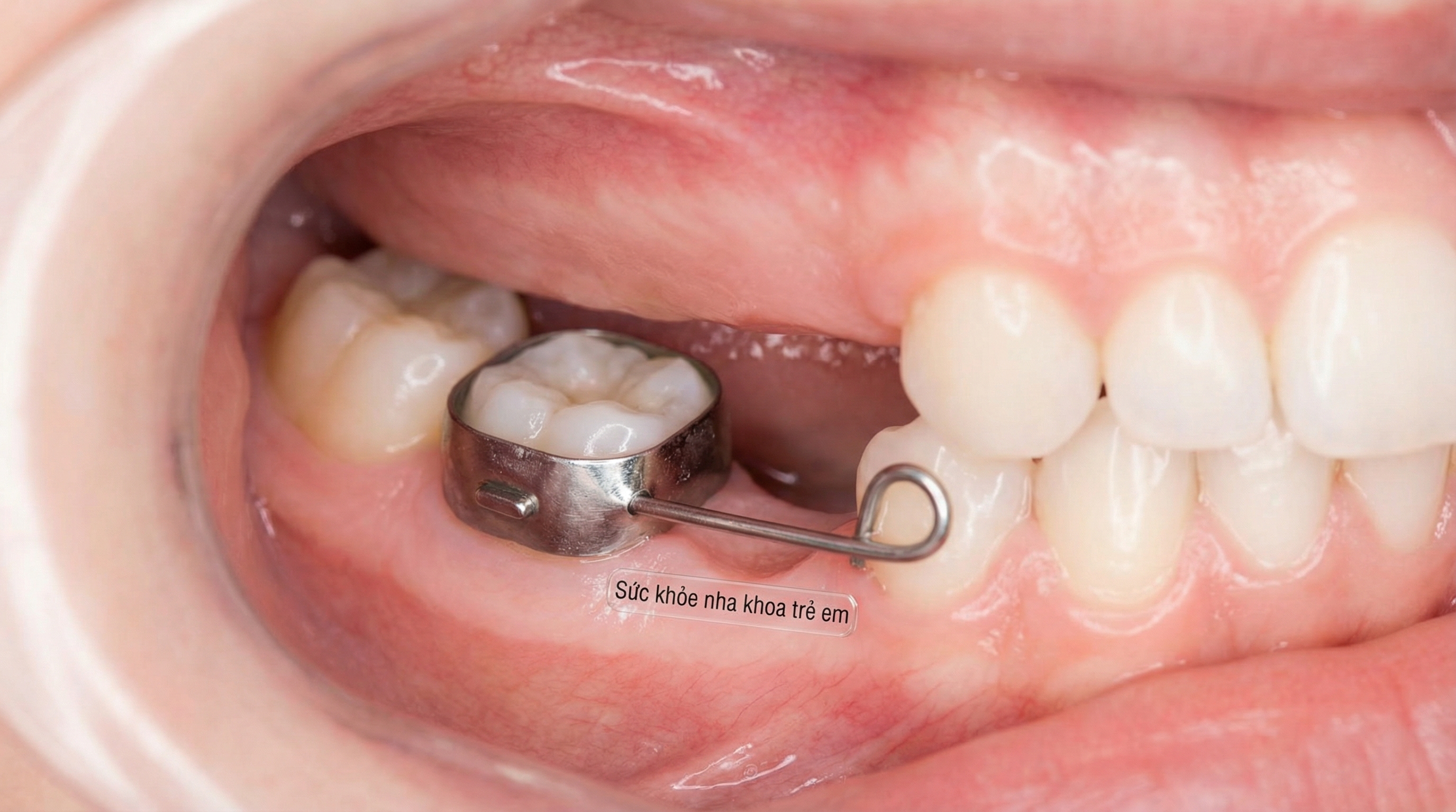
4. Giải pháp “Cứu cánh”: Hàm giữ khoảng (Space Maintainer)
Đây chính là phần quan trọng nhất mà ít ba mẹ biết tới. Nếu bác sĩ chỉ định bắt buộc phải nhổ răng sớm cho con, ba mẹ hãy hỏi ngay: “Bác sĩ ơi, có cần làm hàm giữ khoảng không?”
Hàm giữ khoảng là gì?
Hãy tưởng tượng nó giống như cái “cọc giữ chỗ” trong bãi đỗ xe. Đó là một khí cụ nhỏ bằng kim loại hoặc nhựa, được gắn cố định vào răng bên cạnh khoảng trống.
Lợi ích của hàm giữ khoảng:
- Giữ nguyên vị trí: Ngăn không cho các răng bên cạnh đổ nghiêng vào khoảng trống.
- Định hướng mọc răng: Đảm bảo răng vĩnh viễn mọc lên đúng vị trí chuẩn 100%.
- Tiết kiệm: Chi phí làm hàm giữ khoảng rẻ hơn rất nhiều so với chi phí niềng răng sau này.
- Thoải mái: Bé vẫn ăn nhai bình thường, không đau, không vướng víu.

5. Lời khuyên tâm huyết từ Bác sĩ Hiếu
Đừng để nỗi sợ “con đau” hay tâm lý “răng sữa đằng nào cũng thay” làm hại tương lai của bé.
- Nếu răng con chớm sâu: Đi hàn ngay.
- Nếu răng con sâu lớn: Điều trị tủy để giữ răng.
- Nếu bắt buộc phải nhổ sớm: Làm ngay hàm giữ khoảng.
Tại Nha khoa Bác sĩ Hiếu, tôi luôn ưu tiên các phương pháp xâm lấn tối thiểu. Nhổ răng cho bé không chỉ là kỹ thuật, mà là nghệ thuật nắm bắt tâm lý để con không sợ hãi.
Băn khoăn không biết có nên nhổ răng cho con?
Đừng đoán già đoán non! Hãy để Bác sĩ Hiếu kiểm tra trực tiếp.
🎁 ƯU ĐÃI ĐẶC BIỆT: Miễn phí khám, tư vấn và kiểm tra mầm răng vĩnh viễn cho 10 bé đăng ký sớm nhất hôm nay.
Việc khám và nhổ răng cho bé chỉ mất khoảng 5 – 10 phút nhưng giúp bạn bảo vệ nụ cười suốt nhiều năm. Đừng vì sợ đau hay tiếc một khoản chi phí nhỏ mà đánh đổi sức khỏe răng miệng của bé.

















